Was Sie über Kurzschaftprothesen wissen sollten, bevor Sie sich entscheiden
Warum für eine Kurzschaftprothese entscheiden?

Die Entscheidung für eine Hüftendoprothese ist ein bedeutender Schritt, der gründlich durchdacht sein sollte. In den letzten Jahren sind Kurzschaftprothesen zu einer beliebten Option für Patienten geworden, die eine Hüftendoprothetik in Betracht ziehen. Bevor Sie sich jedoch für diese Art der Prothese entscheiden, gibt es einige wichtige Dinge, die Sie wissen sollten. In diesem Beitrag werden wir die wichtigsten Informationen über Kurzschaftprothesen besprechen, um Ihnen bei Ihrer Entscheidung zu helfen.
Was sind Kurzschaftprothesen?
Kurzschaftprothesen sind Implantate, die speziell für die Hüftendoprothetik entwickelt wurden und eine verkürzte Schaftlänge im Vergleich zu herkömmlichen Implantaten aufweisen. Sie werden in den Oberschenkelknochen eingefügt, um beschädigtes oder erkranktes Gewebe zu ersetzen und die Funktion des Hüftgelenks wiederherzustellen. Kurzschaftprothesen bieten eine verbesserte Stabilität und Beweglichkeit des Hüftgelenks, was zu einer schnelleren Genesung und weniger postoperativen Beschwerden führen kann.
Vorteile von Kurzschaftprothesen
Kurzschaftprothesen bieten eine Reihe von potenziellen Vorteilen für Patienten. Dazu gehören eine schnellere Genesung aufgrund der minimalinvasiven Operationstechnik, eine verbesserte Stabilität des Hüftgelenks und eine geringere Wahrscheinlichkeit von Dislokationen oder Luxationen nach der Operation. Darüber hinaus erfordern sie oft weniger Knochenentfernung während der Operation, was die Integrität des Oberschenkelknochens erhalten kann.
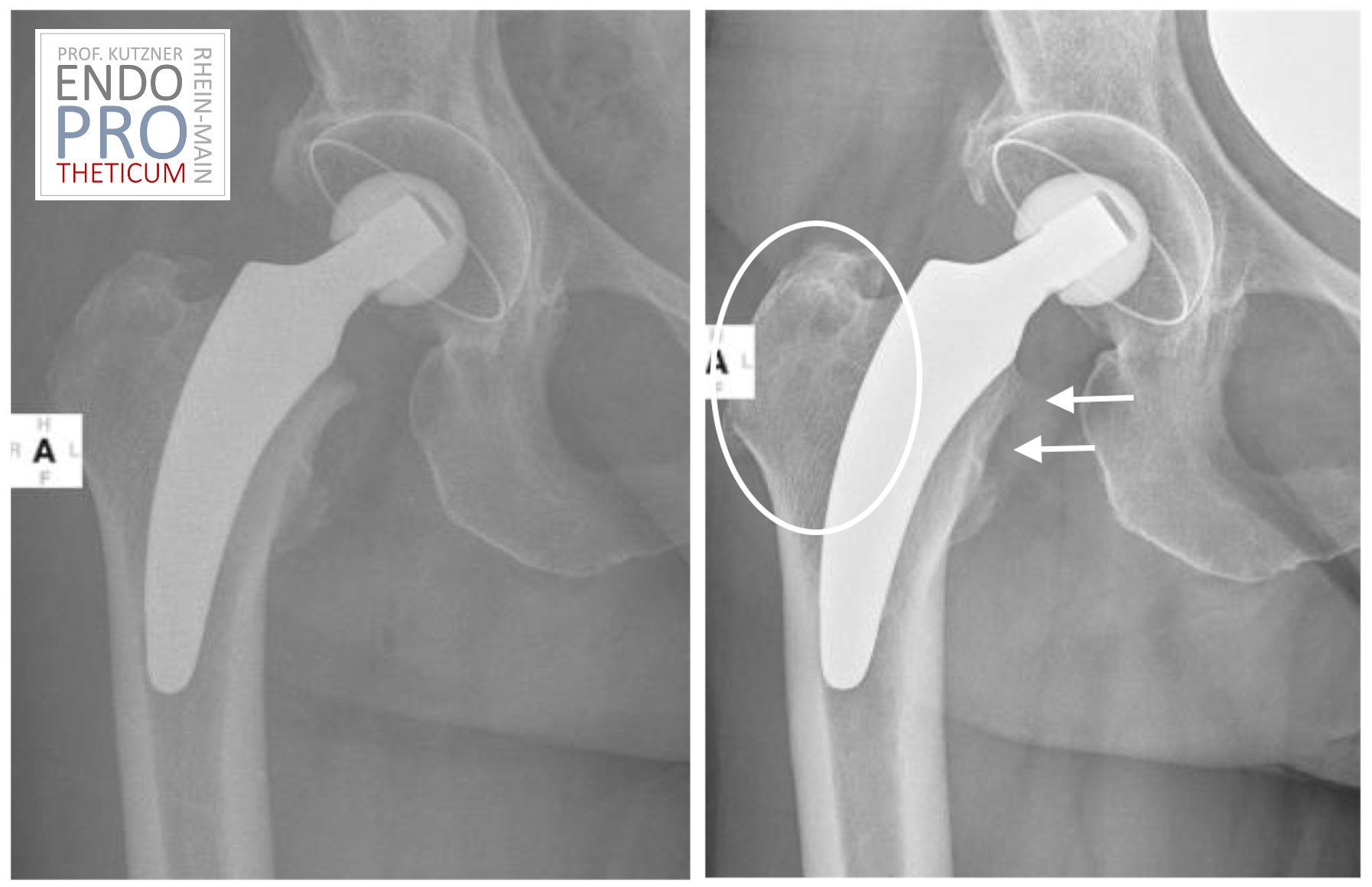
Risiken von Kurzschaftprothesen
Obwohl Kurzschaftprothesen viele potenzielle Vorteile bieten, sind sie nicht für jeden Patienten geeignet. Wie bei allen medizinischen Verfahren gibt es auch bei der Verwendung von Kurzschaftprothesen Risiken und Komplikationen, einschließlich Infektionen, Blutgerinnseln und Lockerung des Implantats. Es ist wichtig, diese Risiken mit Ihrem Arzt zu besprechen und eine gründliche Risiko-Nutzen-Analyse durchzuführen, um festzustellen, ob Kurzschaftprothesen die richtige Option für Sie sind.
Entscheidungshilfe
Bevor Sie sich für Kurzschaftprothesen entscheiden, sollten Sie sich gründlich über Ihre Optionen informieren und alle Vor- und Nachteile sorgfältig abwägen. Sprechen Sie mit Ihrem Orthopäden über Ihre Bedenken, Fragen und Erwartungen, um gemeinsam die beste Entscheidung für Ihre individuelle Situation zu treffen. Eine fundierte Entscheidung kann Ihnen helfen, die bestmöglichen Ergebnisse zu erzielen und Ihre Lebensqualität zu verbessern.
Fazit
Kurzschaftprothesen bieten eine vielversprechende Option für Patienten, die eine Hüftendoprothese in Betracht ziehen. Bevor Sie sich für diese Art der Prothese entscheiden, ist es jedoch wichtig, sich gründlich zu informieren und alle Vor- und Nachteile zu berücksichtigen. Sprechen Sie mit Prof. Kutzner im ENDOPROTHETICUM über Ihre Bedenken und Fragen, um die bestmögliche Entscheidung für Ihre individuelle Situation zu treffen.
TERMIN VEREINBAREN?
Gerne können Sie einen Termin sowohl telefonisch, als auch online vereinbaren.





















